Серия: Любопытные эксперименты на людях: Врач, который поставил себе катетер в сердце

Серия: Любопытные эксперименты на людях: Врач, который поставил себе катетер в сердце
Серия: Любопытные эксперименты на людях: Врач, который поставил себе катетер в сердце

Доктор, который поставил себе катетер в сердце

Кардиолог привязал медсестру к операционному столу, но потом сделал испытуемым себя, а не ее. Опасный для жизни эксперимент принес бывшему нацистскому врачу Вернеру Форсманну Нобелевскую премию по медицине.

Image
Image

В 1920-х годах молодой кардиолог Вернер Форссманн (1904-1979) работал в госпитале Огюста-Виктории-Хейма в Эберсвальде, который стоит там и сегодня, но был переименован в госпиталь Вернера Форссмана после того, как Нобелевская премия Форссманна стала. Но об этом чуть позже. На первый взгляд, то, что занимало тогда молодого врача, не казалось чем-то особенным: он хотел посмотреть, можно ли провести катетер через вену на руке в сердце.

Начальники Форссманна не считают это хорошей идеей, но доктору наплевать на запрет. Ключевой момент: исследователь и испытуемый - одно и то же лицо. Форссманн хочет провести эксперимент на себе, рискуя своей жизнью. И это еще не все: тут замешан изощренный обман и немного романтики.

Форсманн очень хочет, чтобы хирургическая сестра Герда Дитцен помогала ему - классический флирт между влюбленным доктором и его медсестрой. Дитцен с радостью соглашается помочь ему. При одном условии: он проведет над ней свой эксперимент и не подвергнет себя опасности. Дальше драма разворачивается по линиям сконструированного врачебного романа, правда, в реальной жизни и в весьма рискованном сеттинге.

Драма прямо из романа врача

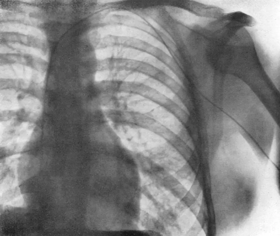
Потому что Форссманн привязывает Дитцен к операционному столу, дезинфицирует ее руку йодом и позволяет ей поверить, что он собирается сделать ей местную анестезию. Но пока он стоит к ней спиной в углу операционной, он проводит операцию на себе: вскрывает вену на одной руке и подталкивает катетер к сердцу. Дойдя до его плеча, он оборачивается. Он развязывает медсестру и говорит: Ладно, готово!

«Она была зла», - вспоминает он журналиста New York Times Лоуренса К. Альтмана. «Я попросил ее сохранять спокойствие, обвязать мне руку платком и вызвать рентгенолога. Вместе мы спустились в его отделение, которое находилось в подвале». Там Форссманн стоит за флюороскопом, рентгеновским аппаратом, который в то время использовался для таких обследований. Он просит Дитцена, который находится с другой стороны, поднять зеркало, чтобы он мог сам увидеть, где именно находится катетер.

Image
Image

Недостаточно далеко, на его вкус. Поэтому он толкает его дальше и следит в зеркале за тем, как катетер приближается к его сердцу. А затем следует следующая драматическая кульминация. Потому что Форссманн и Дитцен не заметили, как техник тихо вышел из комнаты. Он возвращается, но не один, а с главой отдела Питером Ромейсом. Как только он оправится от увиденного, его предохранитель сгорит.

«Он пытался вытащить катетер из моей руки», - позже сообщает Форссманн. «Я пытался остановить его, крича: «Нет, нет! Я должен добраться до сердца!» Я сильно ударил его ногой по голени, а когда он корчился от боли, толкнул катетер дальше, пока не смог увидеть в зеркало "Фото! Сделайте фото! Сейчас же!" - кричал я технику, потому что мне нужно было иметь осязаемое доказательство того, что эксперимент сработал."

После долгого сопротивления и многочисленных дискуссий Форсманн наконец получает разрешение продолжить свои исследования - по-прежнему с самим собой в качестве подопытного. За последующие четыре недели он не раз рисковал своей жизнью. Чудесным образом все всегда идет хорошо.

13 сентября 1929 г. он опубликовал в ведущем специализированном журнале "Klinische Wochenschrift" статью о введении катетеров, что дало новый импульс развитию медицины. С побочным эффектом: пресса выходит на след нашумевшей истории, и берлинская газета предлагает ему 5000 евро в пересчете на сегодняшние условия за рентген. Форссманн отказывается, но не может предотвратить общественное внимание. В последующие годы это дорого ему обошлось.

Его опасные для жизни эксперименты нанесли ущерб его репутации. Ни одна больница больше не хочет позволять ему работать под своей крышей. В 1933 году он был вынужден бросить кардиологию и переквалифицироваться в уролога. Тем временем он вступил в Национал-социалистическую партию и дослужился до звания врача. В качестве медицинского работника он попадает в американский лагерь для военнопленных, но вскоре его освобождают. Однако его научная карьера закончилась навсегда. Форссманн отступает в город в Шварцвальде. Сначала он работал лесорубом, затем сельским врачом у жены и, наконец, урологом. Пыль собирается вокруг его сенсационного эксперимента 1929 года.

Пока Андре Фредерик Курнан и Дикинсон В. Ричардс не наткнулись на статью Форссмана в «Klinische Wochenschrift» в 1945 году. Они основываются на его открытиях и совершенствуют технику Форссмана. Путь к совместной Нобелевской премии открыт. Более десяти лет спустя, в 1956 году, Форссманн вместе с Курнаном и Ричардсом получил Нобелевскую премию по физиологии и медицине «за демонстрацию того, как можно вводить катетер в сердце, и за исследование ряда сердечных заболеваний».

Серия: Любопытные эксперименты над людьми

Часть 1: Интервью с киборгом: «Не нужно бояться стать менее человечным»

Часть 2: Врач, который сам поставил сердечный катетер

Часть 3: Повешение ради науки

Часть 4: Исследователь, который хотел скрестить обезьян и людей

Часть 5: Пригвожденные к кресту за науку

Часть 6: Самостоятельная операция в Антарктиде

Часть 7: Человеческий манекен для краш-теста