Жировая болезнь печени: симптом общества потребления?

Жировая болезнь печени: симптом общества потребления?
Жировая болезнь печени: симптом общества потребления?

Жировая болезнь печени, вызванная постоянным употреблением газированных напитков, имеет очень серьезные долгосрочные последствия.

Жировая болезнь печени: симптом общества потребления?
Жировая болезнь печени: симптом общества потребления?

Из-за больного употребление фруктозы становится особенно проблематичным.

Жировая болезнь печени, недавний диагноз

Из-запродуктов, вредных для печени, мы получаем проблемы с печенью, к такому выводу пришли врачи. Именно в 1980 году первые формы неалкогольной жировой болезни печени описал профессор Людвиг из клиники Майо. Около двадцати пациентов имеют повреждения тканей печени того же характера, что и те, которые обычно наблюдаются у пациентов-алкоголиков. Проблема: эти пациенты никогда не употребляли алкоголь!

Проведенная биопсия выявилаболее или менее поздние стадии ухудшения состояния начиная от «простых» жировых отложений до фиброза и некроза. Три образца указывают на финальную стадию цирроза печени - воспалительного состояния, которое может перерасти в рак. У большинства пациентов наблюдаются метаболические нарушения, связанные с ожирением (особенно инсулинозависимым диабетом).

Жировая болезнь печени: диагностика и лечение

жировая болезнь печени
жировая болезнь печени

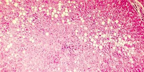
Жир, накопленный в клетках печени

С тех пор исследование НАСГ при неалкогольном стеатогепатозе,более известном широкой публике как жировая болезнь печени или содовая болезнь, показало, что эта патология тесно связана с избыточное потребление очень сладких продуктов в течение достаточно длительного периода времени, особенно в виде напитков.

Действительно, сахар, особенно фруктоза, производное сахарозы, которое в природе содержится во фруктах, но широко используется в пищевой промышленности, может метаболизироваться в жир в печени. Когда потребление фруктозы превышает потребности организма, печень сохраняет ее. В запущенной стадии заболевания при пальпации может ощущаться гепатомегалия: объем печени увеличился. Ультразвук - простой и неинвазивный способ выявить воспаление печени, например, при боли неизвестного происхождения. Печень имеет блестящий, так называемый «гиперэхогенный» вид.

Профилактика и лечение жировой болезни печени

Лечение НАСГ в основном основано на диетических мерах: устранении источников добавленного сахара, особенно фруктозы, соблюдении диеты с низким ГИ и т. д. Этот совет можно сопровождать занятиями физической активностью (ходьбой, плаванием), совместимой с состоянием больного. Для людей с диабетом крайне важно стабилизировать диабет. Во всех случаях консультация специалиста обязательна.

жировая болезнь печени
жировая болезнь печени

Ешьте лучше, чтобы сохранить печень

Что касается профилактики, также применимы элементы, составляющие основу лечения. Ожирение и гиперлипемия являются наиболее распространенными причинами развития НАСГ, поэтому важно поддерживать здоровый вес иизбегать, насколько это возможно, ультраобработанных продуктов Принять диету средиземноморского типа - это хорошо способ защитить себя от НАСГ.

Диета Нэша против жировой болезни печени

Средиземноморская диета на практике:

  • цельнозерновые и бобовые
  • оливковое масло
  • мяса и рыбы мало, и хорошего качества
  • масличные фрукты
  • красочные сезонные овощи
  • свежие сезонные фрукты
  • молочные продукты, отдавая предпочтение продуктам мелких млекопитающих; коза, овца.
  • травы и специи.