Врачи используют лазеры для лечения людей с тяжелыми психическими заболеваниями

Врачи используют лазеры для лечения людей с тяжелыми психическими заболеваниями
Врачи используют лазеры для лечения людей с тяжелыми психическими заболеваниями

Не лоботомия твоей бабушки

Изображение
Изображение

Джефф Б. Холл через Wikimedia Commons

В середине 20-го века лоботомия была относительно распространенным методом лечения людей с тяжелыми психическими заболеваниями. Спорная процедура хирургическим путем уничтожала нейроны, соединяющие префронтальную кору пациента с остальной частью мозга. С 1960-х годов эта процедура вышла из моды. Но недавно нейробиологи добились успехов в разработке более точной и менее разрушительной версии лоботомии с использованием лазера, согласно статье в Wired.

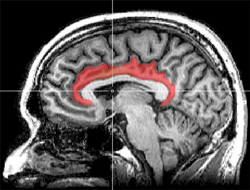
Процедура, в которой используются лазеры, называется передней цингулотомией и на данный момент одобрена только для лечения обсессивно-компульсивного расстройства (ОКР). Хирург просверливает крошечное отверстие в черепе пациента, затем вводит в мозг крошечное лезвие, чтобы прорезать путь к передней поясной коре, части мозга, которая связывает эмоции с физическими задачами. Как только инструменты хирурга достигают нужного скопления нейронов, они запускают лазер, выжигая поражения в небольшой конкретной области серого вещества. Лазер, по сути, расплавляет часть мозга, что наносит меньше вреда, чем его взламывание, как это делается при традиционной лоботомии.

Конечно, существует множество других способов лечения ОКР. Лекарства и терапия являются наиболее распространенными, но они вообще не работают у 30-60 процентов пациентов. Поскольку нейробиологи точно определили части мозга, вызывающие ОКР, они выяснили, куда направить более инвазивные методы лечения. Некоторые из них работали с глубокой стимуляцией мозга, когда хирург прикрепляет электроды к вентральному полосатому телу, что имеет решающее значение для принятия решений на основе вознаграждения и перекрестков для многих важных неврологических функций. Но даже самые выносливые аппараты требуют обслуживания, поэтому иногда такие лазерные психохирургии предпочтительнее.

На данный момент Управление по санитарному надзору за качеством пищевых продуктов и медикаментов (FDA) одобрило только операции для лечения пациентов с ОКР, для которых они имеют довольно высокий показатель успеха - в одном испытании у 69 процентов пациентов был полный или частичный ответ через пять лет после лечения. Но вскоре они могут быть одобрены для лечения депрессии, поскольку первоначальные результаты, по-видимому, восстанавливают нормальную функцию мозга у пациентов.