Y Adra, поддерживаемая Combinator, хочет превратить всех стоматологов в «суперстоматологов»

Y Adra, поддерживаемая Combinator, хочет превратить всех стоматологов в «суперстоматологов»
Y Adra, поддерживаемая Combinator, хочет превратить всех стоматологов в «суперстоматологов»

Как и другие области здравоохранения, стоматологическая промышленность неуклонно осваивает новые технологии. Но в то время как большая часть этого находится в сфере ортодонтии, другие стартапы, такие как Adra, привносят искусственный интеллект в повседневный рабочий процесс стоматолога, особенно в поиске кариеса, который в этом году составит 435,08 миллиарда долларов на мировом рынке стоматологических услуг.

Сингапурская компания была основана в 2021 году, но ее идея возникла в прошлом году. Соучредитель Хамед Фешараки работает стоматологом более десяти лет и владеет двумя клиниками в Сингапуре.

Он сказал, что стоматологи учатся читать рентгеновские снимки в стоматологической школе, но на то, чтобы научиться этому, может уйти несколько лет. У стоматологов также часто есть всего несколько минут, чтобы прочитать их, пока они прыгают между пациентами.

В результате стоматологи ошибочно диагностируют кариес в 40% случаев, сказал соучредитель Ясаман Нематбахш. Ее опыт связан с визуализацией, где она разработала машину с искусственным интеллектом, идентифицирующую трудноразличимые виды рака, что, по мнению Фешараки, также можно было бы применить в стоматологии.

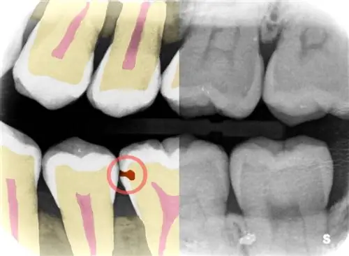
Предоставляя точку зрения более опытного стоматолога, Adra намерена сделать каждого дантиста «суперстоматологом», - сказал Фешараки TechCrunch. Его программное обеспечение выявляет кариес и другие проблемы с зубами на рентгеновских снимках зубов быстрее и на 25% точнее, поэтому клиники могут использовать это время для лучшего обслуживания пациентов и увеличения доходов.

Изображение
Изображение

«Мы исходим из опыта опытного стоматолога, чтобы помочь проиллюстрировать проблемы, превратив рентгеновские снимки в изображения, чтобы лучше понять, что искать», - добавил он. «В конечном счете, последнее слово остается за стоматологом, но мы привносим элемент опыта, чтобы помочь им сравнить и дать им рекомендации.”

Быстро указав на проблему и ее масштабы, стоматологи могут решить, каким образом они хотят ее лечить - например, поставить пломбу, провести лечение фтором или подождать.

Вместе с третьим соучредителем Шифэном Ченом компания заканчивает свое время в летней когорте Y Combinator и уже собрала 250 000 долларов. Фешараки намерен провести более формализованный сбор средств и хочет привлечь больше инженеров для улучшения пользовательского опыта и добавления дополнительных функций.

У компании есть несколько клиник, которые проводят пилотные испытания, и она хочет привлечь больше, поскольку приближается к разрешению Управления по санитарному надзору за качеством пищевых продуктов и медикаментов США. Фешараки ожидает, что получение разрешения займет от шести до девяти месяцев, а затем Adra сможет выйти на рынок в конце 2022 или начале 2023 года.